
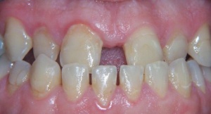
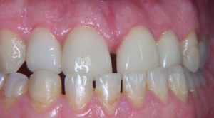
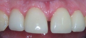
Transformation gingivale et esthétique d'un patient présentant un diastème et une anatomie dentaire inesthétiques.
L'auteur démontre l'importance de l'anatomie dentaire sur le parodonte. Ce dernier cicatrise en fonction de l'anatomie imposée.
Jacques Nahon qui a un recul de plus de 15 ans nous présente sa technique qui est en dehors de ce qui est enseigné dans les facultés.



