
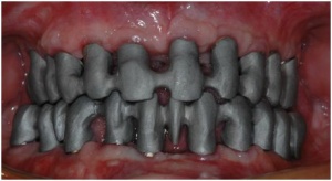
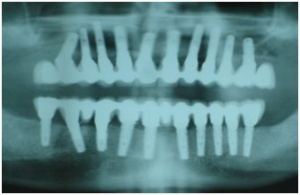
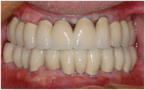
Il s'agit de la réalisation prothétique de deux bridges complets maxillaire et mandibulaire sur implants dont la phase chirurgicale est actuellemnt sur le site en vidéo.
Pour des raisons de compréhension les phases prothétiques provisoires et définitives sont présentées sous la forme d'un diaporama commenté.
On y décrit:
-la mise en charge des implants
-la chirurgie muco-gingivale pré-prothétique
-les techniques d'empreintes
-la réalisation des piliers implantaires
-la réalisation des bridges provisoires
-la réalisation des bridges céramique définitifs.
Vous pouvez poser vos questions à l'auteur qui y répondra sur le site.
Bonne visualisation !
La phase chirurgicale :
http://www.dentalespace.com/dentiste/formation/295-implantat...



