58 028
membres
»
IDENTIFIEZ-VOUS
»
INSCRIPTION GRATUITE
» Toutes les rubriques
» Formation continue
» VOD
» Evènements
» Pratique
» Partage photo/vidéo
» Petites annonces
» Forum
Tout
Se Former
Formation continue
Conférences, Congrès, Cours
Vidéos à la demande
Les Thèses
S'informer
Nos reportages
Les Actualités
Le fil d'infos
Guide Produits
Fiches Produits
Vidéos Produits
Communiqués de presse
La Communauté
Sauvegarde en ligne
Postez vos photos/vidéos
Le forum
Créez le site de votre
cabinet
Référencez le site de
votre cabinet
Les Petites Annonces
Déposez votre annonce
Consultez les annonces
Le bon coin dentaire
0
location
Voir mon panier
0
produit
Voir mon panier
Formation continue
Tester ma configuration
Les auteurs Dentalespace
Top 30 des vidéos
Billets d'humeur
Dental Replay
Anatomie - Anesthésie
Chirurgie Bucco-maxillaire
Dentisterie Restauratrice
Dentisterie du Sourire
Droit
Endodontie & Micro-Chirurgie
Histoire de l'art dentaire
Homéopathie
Imagerie
Implantologie - Greffes osseuses
Lasers
Microscope opératoire
Occlusodontie-ATM
Orthodontie
Orthoposturodontie
Parodontologie
Pathologie
Pédodontie
Prophylaxie
Prothèse
Urgence Médicale
Votre cabinet
CFAO
Vous êtes ici :
Accueil
>
Formation continue
21
formations
4 min
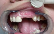
IMPLANTOLOGIE - GREFFES OSSEUSES
par
Raphaël BETTACH
Implants antérieurs chez un patient au sourire dit gingival
02/12/2007 | Commentaires (
7
)
« Précédent
1
2
3