JavaScript est désactivé, pour profiter de dentalespace à 100%,
et notamment accéder à sa boutique activez le en suivant ce lien : Activer JavaScript


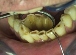
Restaurations par composites des bords libres du groupe incisivo-canin inférieur

Restaurations par composites des bords libres du groupe incisivo-canin inférieur

Par Claude FINELLE   |   Mise en ligne : 21 janvier 2010   |   Vus : 5 724
DONNEZ VOTRE AVIS ! (29)
Pas terribleMoyenBienTrès bienExcellent !

 

Le patient consulte pour des colorations brunes au niveau des bords libres des incisives inférieures.

Pour visualiser cette vidéo, vous devez vous identifier en cliquant ici

ou bien vous inscrire gratuitement en cliquant ici
Photos extraites de la vidéo :