
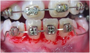
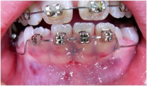
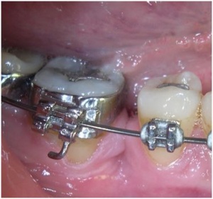
Ce sont tous les actes chirurgicaux destinés à aménager et à protéger l'enveloppe parodontale des dents au cours des mouvements orthodontiques. Ces chirurgies assurent aux confrères orthodontistes la garantie que l'environnement des dents déplacées répond à toutes les exigences nécessaires à la santé parodontale.



