
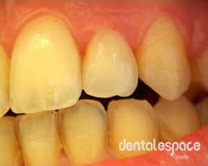
Après un traitement orthodontique de plus de 3 ans, il reste encore un diastème entre la latérale et la canine. Une restauration partielle en céramique ou chips dentaire collée sur la latérale permet de combler cet espace. Cette une technique qui ne nécessite aucune préparation de la dent.
Ce traitement en 2 séances non mutilant est très apprécié par les patients

