JavaScript est désactivé, pour profiter de dentalespace à 100%,
et notamment accéder à sa boutique activez le en suivant ce lien : Activer JavaScript


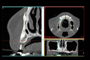
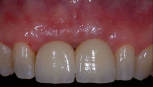
Facteurs de succès en prothèse implantaire. Utilisation des guides

Facteurs de succès en prothèse implantaire. Utilisation des guides

Par Catherine RIVIERE   |   Mise en ligne : 29 janvier 2009   |   Vus : 4 522
DONNEZ VOTRE AVIS ! (4)
Pas terribleMoyenBienTrès bienExcellent !

 

C'est la position spatiale de l'implant qui détermine la qualité de la prothèse en terme fonctionnel, esthétique.

Pour visualiser cette vidéo, vous devez vous identifier en cliquant ici

ou bien vous inscrire gratuitement en cliquant ici
Photos extraites du diaporama :