JavaScript est désactivé, pour profiter de dentalespace à 100%,
et notamment accéder à sa boutique activez le en suivant ce lien : Activer JavaScript


Prothèse sur pilotis simplifiée

Prothèse sur pilotis simplifiée

Par Gérard BAROUHIEL & Jacques BARANES   |   Mise en ligne : 03 février 2010   |   Vus : 9 652
DONNEZ VOTRE AVIS ! (10)
Pas terribleMoyenBienTrès bienExcellent !

 

Prothèse sur implants simplifiée

Cette patiente s'est présentée à notre cabinet avec une édentation quasi totale du maxillaire et une parodontite généralisée profonde au stade terminale à la mandibule.
On constate également une diminution de la dimension verticale
Outre le problème esthétique, la déficience masticatoire est importante.
L'examen radiologique panoramique révèle une résorption osseuse importante au niveau des deux maxillaires.
Nous lui proposons le plan de traitement suivant qui dans un premier temps ne concerne que la mandibule :
- extractions des dents résiduelles
- rebasage de ses appareils amovibles avec restauration de la dimension verticale.
- pose de 5 implants
- réalisation d'un bridge sur pilotis type Branemark
Radiographie panoramique de départ. On peut déjà visualiser l'importante de la perte osseuse aux 2 maxillaires
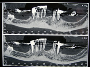
L'examen scanner en mode "panoramique"

Nous souhaitons proposer une solution fixe bien que ces clichés nous montrent qu'il est impossible de poser des implants au delà des trous mentonniers.
Nous nous dirigeons donc vers le bridge type Branemark

L'examen scanner nous confirme la raréfaction osseuse.
Seules les coupes au niveau inciso-canin sont des sites exploitables pour la pose des implants.
Au delà du trou mentonnier il n'y a plus de hauteur osseuse disponible. Notez la position du trou mentonnier par rapport à la crête.
Nous décidons de placer 5 implants entre les 2 trou mentonniers
Les 2 implants distaux sont volontairement inclinés afin que l'emergeance des implants soit la plus distale possible, nous gagnerons ainsi une dent sur le nombre de dents en extension. (Paolo Malo)
2 implants provisoires permettent de stabiliser une prothèse provisoire amovible
L'empreinte est réalisée avec des silicones et un porte-empreinte individuel.
Le laboratoire confectionne une clé en plâtre afin de valider l'exactitude de l'empreinte.
En effet, lors de l'essai de la clé en plâtre si celle-ci se fracture, c'est qu'il y a eu déformation de l'empreinte, il faudra alors la reprendre.
Vue occlusale de l'armature
Vue de l'intrados de l'armature
L'inclinaison des implants distaux a permis une émergence du pilier au niveau de ma deuxième prémolaire, la restauration s'arrête à la première prémolaire.
L'extension de chaque côté n'est que d'une seule dent. Le porte-à-faux est ainsi réduit.
Des dents en résine du commerce sont montées sur l'armature.
La prothèse s'apparente à une prothèse adjointe vissée sur des implants
La prothèse est vissée en bouche
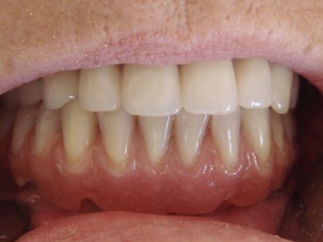
Cas terminé avec la prothèse maxillaire.
Nous avons pu réaliser une prothèse mandibulaire fixe sur une patiente présentant une atrophie osseuse mandibulaire postérieure e restaurer les dents jusqu'à la première prémolaire.

Après quelques mois d'adaptation, une prothèse similaire a été réalisée au maxillaire.