JavaScript est désactivé, pour profiter de dentalespace à 100%,
et notamment accéder à sa boutique activez le en suivant ce lien : Activer JavaScript


Réalisation d'une facette céramique avec retour palatin

Réalisation d'une facette céramique avec retour palatin

Par Jacques BARANES & Gérard BAROUHIEL   |   Mise en ligne : 13 octobre 2002   |   Vus : 12 745
DONNEZ VOTRE AVIS ! (1)
Pas terribleMoyenBienTrès bienExcellent !

 

Le but de cet article est de proposer une démarche simple, applicable à la plupart des situations cliniques en dentisterie esthétique. Présentation du cas: Restauration de 22 et 23. Sur la 22, une préparation coronaire périphérique en vue d'une couronne céramo-céramique a été réalisée.

Le but de cet article est de proposer une démarche simple, applicable à la plupart des situations cliniques en dentisterie esthétique.

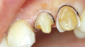
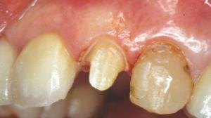
Présentation du cas : Restauration de 22 et 23.

Sur la 22, une préparation coronaire périphérique en vue d'une couronne céramo-céramique a été réalisée.

Sur la 23, la seule correction à apporter étant la dyschromie, nous allons procéder à la préparation d'une facette avec retour palatin.


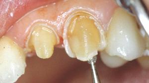
I. Préparation vestibulaire
Une préparation coronaire périphérique a déjà été réalisée sur la 22.
Préparation de la 23. Réalisation d'un sillon qui suit le périmètre de la face vestibulaire avec une fraise boule de 1mm.
La fraise boule est enfoncée à moitié. Ce sillon aura donc une profondeur d’environ 0,5 mm. Au collet, le sillon est pour le moment nettement éloigné de la gencive.
Des tranchées verticales sont réalisées avec la même fraise boule et à la même profondeur que le premier sillon (0,5mm).
Une ou plusieurs tranchées horizontales réunissent les tranchées verticales.
Une fraise à congé termine la préparation vestibulaire.
La préparation de la face vestibulaire est terminée. La limite est pour le moment supra gingivale.

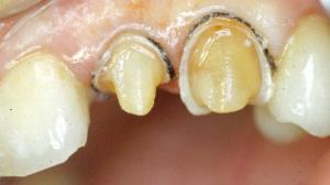
II. Préparation du retour palatin

Le recouvremenent palatin présente des avantages :

  • meilleur résultat esthétique au niveau du bord incisif.
  • meilleure rétention de la dent provisoire.
  • positionnement facile de la facette en céramique lors du collage.
Dans le cas d'une canine, il faut englober la concavité. La fraise boule réunit en palatin les congés proximaux en traçant un sillon palatin apicalement au contact occlusal. Le bord libre sera diminué de 1 mm.
Le contact occlusal se fera sur la céramique. Un espace de 1 mm a été ménagé entre la préparation et la dent antagoniste avec la fraise boule.
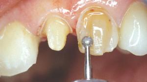
Un premier fil rétracteur fin est inséré. Il écarte légèrement la gencive.
Nous descendons la limite cervicale jusqu’à " effleurer " le fil sans toucher la gencive avec la fraise.
A aucun moment de la préparation la fraise ne doit toucher la gencive !
Les limites de préparation sont actuellement juxta-gingivales.
Un deuxième fil rétracteur plus gros est inséré au dessus du premier. La gencive est de nouveau repoussée par ce deuxième fil.
La limite cervicale est encore descendue avec la fraise congé. La fraise "effleure " ce second fil sans toucher la gencive.

Lors de l'empreinte, le deuxième est déposé, la limite se retrouve alors légèrement sous-gingivale. Le premier est laissé en place pour assurer l'hémostase (cette technique permet d'obtenir une limite sous-gingivale sans toucher la gencive avec la fraise).
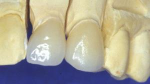
Céramique Empress. Réalisation prothétique: Naturel IDM, Paris.
Céramique Empress. Réalisation prothétique: Naturel IDM, Paris.
Céramique Empress. Réalisation prothétique: Naturel IDM, Paris.
Résultat final après collage.
Résultat final après collage.