58 028
membres
»
IDENTIFIEZ-VOUS
»
INSCRIPTION GRATUITE
» Toutes les rubriques
» Formation continue
» VOD
» Evènements
» Pratique
» Partage photo/vidéo
» Petites annonces
» Forum
Tout
Se Former
Formation continue
Conférences, Congrès, Cours
Vidéos à la demande
Les Thèses
S'informer
Nos reportages
Les Actualités
Le fil d'infos
Guide Produits
Fiches Produits
Vidéos Produits
Communiqués de presse
La Communauté
Sauvegarde en ligne
Postez vos photos/vidéos
Le forum
Créez le site de votre
cabinet
Référencez le site de
votre cabinet
Les Petites Annonces
Déposez votre annonce
Consultez les annonces
Le bon coin dentaire
0
location
Voir mon panier
0
produit
Voir mon panier
Formation continue
Tester ma configuration
Les auteurs Dentalespace
Top 30 des vidéos
Billets d'humeur
Dental Replay
Anatomie - Anesthésie
Chirurgie Bucco-maxillaire
Dentisterie Restauratrice
Dentisterie du Sourire
Droit
Endodontie & Micro-Chirurgie
Histoire de l'art dentaire
Homéopathie
Imagerie
Implantologie - Greffes osseuses
Lasers
Microscope opératoire
Occlusodontie-ATM
Orthodontie
Orthoposturodontie
Parodontologie
Pathologie
Pédodontie
Prophylaxie
Prothèse
Urgence Médicale
Votre cabinet
CFAO
Vous êtes ici :
Accueil
>
Formation continue
>
Parodontologie
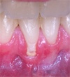
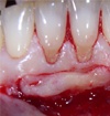
Les autogreffes gingivales libres
Par
Hervé ZEITOUN
| Mise en ligne : 11 février 2008 | Vus : 2 458
AJOUTER A MES FAVORIS
Réagissez, donnez votre avis
|
Voir les
6
commentaires
Tags :
chirurgie muco-gingivale
(21),
conjonctif
(15),
dénudation radiculaire
(3),
greffe gingivale
(13),
épithélio-conjonctif
(10)
DONNEZ VOTRE AVIS ! (0)
Les aspects techniques. Evaluation de leur intérêt à court et à long terme.
Pour visualiser cette vidéo, vous devez vous
identifier
en
cliquant ici
ou bien vous
inscrire gratuitement
en
cliquant ici
Photos extraites du diaporama :
Haut de page