
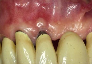
L'omnipraticien est le premier a être confronté aux maladies parodontales. Il dispose d'un panel thérapeutique qui va soulager et orienter le patient. Des actes simples vont être détaillés étape par étape: préparation initiale, chirurgie mucogingivale, chirurgie pré-prothétique.
Cette conférence du "Club des Entretiens de Garancière" a été enregistrée le 07 juin 2007.



