JavaScript est désactivé, pour profiter de dentalespace à 100%,
et notamment accéder à sa boutique activez le en suivant ce lien : Activer JavaScript


Augmentation de la Dimension Verticale à but thérapeutique... et esthétique

Augmentation de la Dimension Verticale à but thérapeutique... et esthétique

Par Jacques BARANES & Gérard BAROUHIEL   |   Mise en ligne : 14 mai 2005   |   Vus : 15 492
DONNEZ VOTRE AVIS ! (5)
Pas terribleMoyenBienTrès bienExcellent !

 

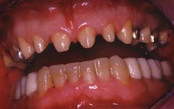
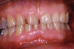
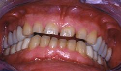
Couronnes tout céramique. Présentation d’un cas clinique : Patient d'une quarantaine d'année bruxomane, présentant des douleurs cervicales et des céphalées matinales. Il existe aussi une perte de la dimension verticale d'occlusion.

Présentation d’un cas clinique :

Patient d'une quarantaine d'année bruxomane, présentant des douleurs cervicales et des céphalées matinales.

Il existe aussi une perte de la dimension verticale d'occlusion.
Absence de visibilité des dents supérieures lors du sourire forcé
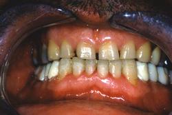
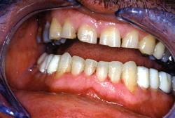
Vue intra-buccale en occlusion
L'espace de repos est très important. La lèvre supérieure est tombante
Traitement thérapeutique : il est réalisé selon les principes d' Orthoposturodontie.

Une gouttière occlusale mandibulaire est portée jour et nuit pendant 2 mois.

Une fois que les symptômes (douleurs cervicales et céphalées matinales) ont disparus, nous passons à la phase prothétique de stabilisation.

A la demande thérapeutique s'ajoute une demande esthétique très forte.


Protocole :

Le port de la gouttière occlusale a permis d'envisager une surélévation de la dimension verticale d'occlusion (DVO) de 6 mm que nous répartirons sur les 2 arcades.

Arcade inférieure :

Des dents provisoires molaires et prémolaires avec une augmentation de hauteur de 3 mm sont réalisées au laboratoire. Dans la même séance que la pose des dents provisoires sur les molaires et prémolaires, nous réaliserons au fauteuil des composites sur le groupe incisivo-canin.
Les dents provisoires prémolaires et molaires mandibulaires sont posées. Composites réalisés au fauteuil sur 31, 32, 33 et 43.
En occlusion, on constate l'augmentation de hauteur obtenue.
Les autres composites sont réalisés sur 41 42.
En occlusion avec la nouvelle dimension verticale augmentée de 3 mm au dépens de l'arcade inférieure.
Arcade supérieure :

Des dents provisoires molaires et prémolaires avec une augmentation de hauteur de 3 mm sont réalisées au laboratoire.

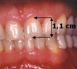
Cette augmentation de la DVO des secteurs postérieurs devra permettre d'obtenir au niveau antérieur une longueur de l'incisive centrale de 11 mm.
Dents provisoires réalisées au laboratoire
Dents provisoires réalisées au laboratoire
Les 8 dents provisoires sont mises en place.
Noter la béance antérieure qui résulte de la mise en place des dents provisoires sur les secteurs postérieurs
Etape suivante : Restauration du bloc antérieur à l'aide de composite.
Reconstitution de 13 et 12.
Puis de 11.
Puis de 21, 22 & 23.
Nouvelle DVO. Augmentation de 6 mm par rapport à la situation d'origine.
Idéalement, la longueur de l'incisive centrale doit être de 11 mm.
Le patient est laissé dans cette situation pendant 1 mois afin de vérifier qu'aucun trouble ne réapparaît.

Réalisation prothétique :
Toutes les dents maxillaires sont préparées. Les dents vivantes sont conservées pulpées.
Des dents provisoires remplacent les composites antérieurs.
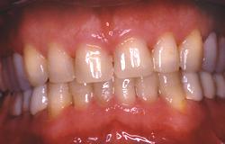
Couronnes céramo-céramiques. Réalisation prothétique Claude VALTIN (Paris).
Couronnes céramo-céramiques. Réalisation prothétique Claude VALTIN (Paris).
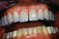
Les 14 couronnes supérieures céramo-céramiques sont collées.
Préparation et empreinte des dents mandibulaires. Les dents vivantes sont conservées pulpées. Les limites des préparations sont supra-gingivales.
Couronnes céramo-céramiques. Réalisation prothétique Claude VALTIN (Paris).
Les 14 Couronnes céramo-céramiques mandibulaires collées.
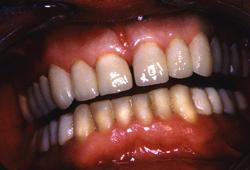
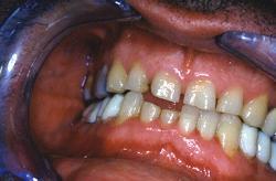
Vue finale
Avant.
Après avec augmentation de la DVO de 6 mm.