JavaScript est désactivé, pour profiter de dentalespace à 100%,
et notamment accéder à sa boutique activez le en suivant ce lien : Activer JavaScript


L'occlusodontologie en pratique courante

L'occlusodontologie en pratique courante

Par Jean ROMEROWSKI   |   Mise en ligne : 06 février 2002   |   Vus : 11 363
DONNEZ VOTRE AVIS ! (2)
Pas terribleMoyenBienTrès bienExcellent !

 

L'occlusodontologie n'est pas l'apanage d'un spécialiste. Elle est en réalité le dénominateur commun de tous les domaines d'exercice du Praticien. Qu'il s'agisse de dentisterie restauratrice, de prothèse amovible ou fixée, de parodontologie, d'orthopédie dento-faciale, de chirurgie orthognatique et même d'implantologie, l'occlusodontologie ne peut, en aucun cas, être ignorée.

L'occlusodontologie n'est pas l'apanage d'un spécialiste. Elle est en réalité le dénominateur commun de tous les domaines d'exercice du Praticien. Qu'il s'agisse de dentisterie restauratrice, de prothèse amovible ou fixée, de parodontologie, d'orthopédie dento-faciale, de chirurgie orthognatique et même d'implantologie, l'occlusodontologie ne peut, en aucun cas, être ignorée. La recherche de l'étiologie des manifestations pathologiques que présentent le patient est l'une des clés des succès cliniques. L'interrogatoire et l'examen clinique du patient sont donc à la base même de la réussite.
Il ne suffit pas d'observer les arcades en occlusion pour affirmer qu'il n'existe aucune pathologie comme cela a pu être déclaré par un expert judiciaire.
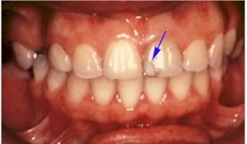
La récidive de la perte d'une restauration d'angle incisif doit éveiller l'attention du praticien sur la possibilité de problèmes occlusodontiques.
Il en va de même pour une fêlure qui aboutira à la fracture.
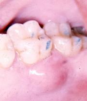
La gingivite localisée peut avoir pour cause des malrelations dento-dentaires.
Il peut en être de même pour une poche parodontale.
Une simple fissure gingivale doit mettre le praticien en éveil.
Un contact glissant au cours de la fonction mandibulaire peut être à l'origine d'un abcès parodontal.
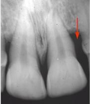
L'ouverture d'un diastème révélé par l'interrogatoire a peut être pour étiologie une dysfonction.
Un chemin d'ouverture buccale en baïonnette est un signal d'alerte pour le praticien.
Faut-il alors faire appel à des techniques particulières pour tenter de donner une réponse à ces différentes difficultés ? En dehors des situations pathologiques particulièrement aiguës où le praticien doit faire appel à une longue expérience, en pratique courante il ne s'avère pas toujours nécessaire d'utiliser des procédés sophistiqués.
La recherche de l'axe charnière de rotation mandibulaire n'est pas un impératif de recherche étiologique.
L'utilisation d'un simulateur sophistiqué des déplacements mandibulaires n'est pas indispensable.
Comme le dit si bien Harold M. Shavell:

"Le praticien peut effectuer une restauration totale des arcades dentaires avec un articulateur semi-adaptable s'il possède un cerveau totalement adaptable".

Il ne s'agit donc pas d'apprendre une méthodologie, mais de comprendre en quoi consiste l'occlusodontologie.